21% с остеопороза в Пернишко

18.10.2011, 07:19 | Перник | Здраве | Слайд

СПОДЕЛИ:

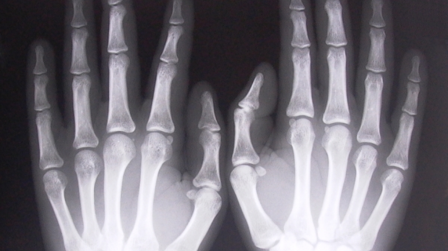
При 21% от общо изследваните 152-ма души в Пернишко е открито заболяването остеопороза, съобщиха от Регионалната здравна инспекция.Прегледани са били хора от 6-те общини на областта. 30% пък са пациентите с остеопения.Резултатите са от проведените информационни скринингови кампании за определяне на личния риск от остеопороза и измерване на костна плътност. Средната възраст на изследваните е 63 г.На всички участници от  РЗИ – Перник са осигурили информационни материали, чрез които да научат повече за остеопорозата и за профилактиката на заболяването. Изследваните лица, при които се установи отклонение от нормата са консултирани от лекари.За периода от месец април до месец септември в цялата страна се провeждаха кампании за определяне на личния риск от остеопороза и измерване на костна плътност. Кампаниите се организираха в сътрудничество между Министерство на здравеопазването, Асоциацията на пациентите с остеоартроза и Националното сдружение на общопрактикуващите лекари в България /НСОПЛБ/ и се подпомагат от Българския фонд за жените. Изследванията се осъществяват с апаратура, закупена за целите на провеждането на скрининг за ранно установяване на риска от остеопороза.
КОМЕНТАРИ 0

СВЪРЗАНИ НОВИНИ

Входът на Синдикалния дом в Перник ограден с лента, търговците недоволстват

17.03.2026, 00:47


Защитник на правата на гражданите и борбата с насилието повежда листата на ПП – ДБ в Перник

17.03.2026, 00:38


Задръстване между Перник и Радомир заради катастрофа на „Кристал“

16.03.2026, 18:35


Откриват зала "Васил Бараков" в сградата на Минна дирекция

16.03.2026, 14:41


Заместник- кмет, бивш секретар и лекар на годината влизат в листата на Румен Радев за Перник

16.03.2026, 14:34


ГЕРБ регистрира листата си в Перник, сред кандидатите и бившият шеф на „В и К“

16.03.2026, 14:30


Депутат от ИТН става водач на листата на Пеевски в Перник

16.03.2026, 13:33


Златен успех за мажоретния състав на XIII ОУ „Св. Св. Кирил и Методий“ в Перник

16.03.2026, 12:50


Пиян шофьор помете няколко коли в Перник

16.03.2026, 09:39


Мажоретките на СУРИЧЕ „Д-р Петър Берон“ в Перник трети на турнира по чирлидинг

16.03.2026, 07:54


Д-р Валентин Павлов поведе листата на “Синя България” в Перник

15.03.2026, 19:38


Бум на безплатни винетки в Перник

15.03.2026, 11:35


Миньор с първа победа през пролетта

15.03.2026, 11:24


Изпратиха Танани на сцената на театъра в Перник

15.03.2026, 09:37


Събраха 2500 евро за нов апарат за изследвания в приюта за кучета в Перник

15.03.2026, 08:54


Подробности за тежката катастрофа в Радомирско

15.03.2026, 08:38


Без изненади: Димо Дренчев отново водач на листата на „Възраждане“ в Перник

15.03.2026, 08:10


Евроскок и в шивашките услуги в Перник

15.03.2026, 00:32


Около средата на годината се очаква да бъде пусната втората газова когенерация на „Топлофикация - Перник"

14.03.2026, 09:05


ПГТС „Арх. Йордан Миланов“ в Перник спечели регионалния кръг на „Най-добър млад строител“

14.03.2026, 09:00


Входът на Синдикалния дом в Перник ограден с лента, търговците недоволстват

17.03.2026, 00:47


Защитник на правата на гражданите и борбата с насилието повежда листата на ПП – ДБ в Перник

17.03.2026, 00:38


Задръстване между Перник и Радомир заради катастрофа на „Кристал“

16.03.2026, 18:35


Иран предупреди Румъния, че ще реагира, ако САЩ използват бази на нейна територия

16.03.2026, 15:48


Откриха растеж на бактерии и плесени в училищни сандвичи

16.03.2026, 15:43


Седем държави отказаха да помогнат на Тръмп за Ормузкия проток!

16.03.2026, 15:41


Откриват зала "Васил Бараков" в сградата на Минна дирекция

16.03.2026, 14:41


Заместник- кмет, бивш секретар и лекар на годината влизат в листата на Румен Радев за Перник

16.03.2026, 14:34


ГЕРБ регистрира листата си в Перник, сред кандидатите и бившият шеф на „В и К“

16.03.2026, 14:30


Успешно представяне на Карате клуб „Цанев“ - клон Радомир и Перник на Държавното първенство

16.03.2026, 13:55


България официално е най-бързо умиращата страна на Земята /Видео/

16.03.2026, 13:50


Депутат от ИТН става водач на листата на Пеевски в Перник

16.03.2026, 13:33


26-г. Александър е бил убит в изоставена сграда в Шумен

16.03.2026, 13:16


Два паркинга вече не са буферни, престоят там от левче вече е 2 евро на час

16.03.2026, 13:05


Майката на Николай Златков: Кожата на крака му беше свалена, имаше следи от нагряване

16.03.2026, 12:59


Златен успех за мажоретния състав на XIII ОУ „Св. Св. Кирил и Методий“ в Перник

16.03.2026, 12:50


Семейство остави на пейка на автогара 52 000 лв. и 2000 евро

16.03.2026, 12:50


Пожар в блок в София, тече евакуация

16.03.2026, 11:55


Стефка Костадинова ще се пробва за депутат

16.03.2026, 11:52


21-годишен джигит лети с 200 км/ч, взеха му колата и книжката

16.03.2026, 11:47


АНКЕТА