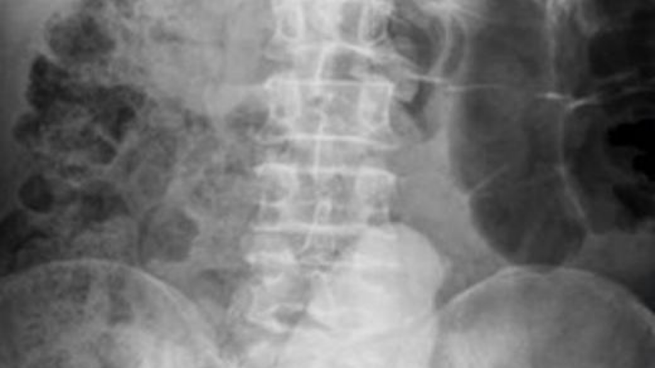
68-годишен отива на лекар с болки в кръста и корема, вижте какво намерили лекарите

06.09.2015, 08:38 | Свят

СПОДЕЛИ:

68-годишен мъж отишъл на лекар с болки в кръста и корема,  а лекарите останали с отворени уста, след като направили рентгенова снимка. Странната находка в седалището на 68-годишен мъж се оказал вибратор, дълъг 23 сантиметра. Той бил проникнал много във вътрешността на мъжа и създавал предпоставки за тежкото състояние, пише италианският „Тудей”.Мъжът, който е пенсиониран военен, търпял болките от декември миналата година. Животът му е спасен след оперативна интервенция./БЛИЦ
КОМЕНТАРИ 0

СВЪРЗАНИ НОВИНИ

Миньор приема Севилиево, ще потърси втори пореден успех

21.03.2026, 07:27


Президентът Йотова: ГПЧЕ "Симеон Радев" е истински бисер, не спирайте да го развивате

20.03.2026, 15:53


Йотова в Перник: Разочарована съм от последната среща в Брюксел

20.03.2026, 14:15


15 нарушения с тротинетки в Перник, МВР състави 12 фиша и 3 акта

20.03.2026, 11:02


„Топлофикация“ Перник с отстъпки за редовни клиенти при навременно плащане

20.03.2026, 10:58


Рецидивист опита да задигне храна от хипермарект в Перник

20.03.2026, 10:58


Син подаде сигнал за побой над майка му, задържаха приятеля ѝ

20.03.2026, 10:57


Задържаха 42-годишен от Рударци с дрога

20.03.2026, 10:53


Илияна Ѝотова идва в Езиковата в Перник

20.03.2026, 09:14


Изненада: Антония Петрова с тайна сватба

20.03.2026, 08:45


Кои са лицата в листата на новата коалиция „Сияние“ в Перник

19.03.2026, 15:21


Училището в Кладница с кампания за създаването на собствена библиотека

19.03.2026, 14:26


Ученици от ГПЧЕ „Симеон Радев“ – Перник с престижни успехи на национално ниво

19.03.2026, 10:37


Син извади нож на майка си в Кладница, мъж преби жена си в Перник

19.03.2026, 09:35


Миньор научи програмата си за още два двубоя, един от тях ще се излъчи по телевизията

19.03.2026, 09:20


Ремонтират алеите в гробищния парк в Перник

19.03.2026, 00:09


Затварят възлова улица в Перник, движението в града се променя

18.03.2026, 15:40


Перничанката Магдалена Милтенова: Поскъпването на билетите в транспорта е неизбежно, ако цените на горивата се покачват

18.03.2026, 14:47


Правят спешен превантивен ремонт на терасата на Синдикалния дом в Перник

18.03.2026, 14:25


Пак там: Катастрофа на пътя Перник – София

18.03.2026, 14:09


Мартин Чой с първа реакция за раздялата си с Натали Трифонова

21.03.2026, 11:54


Седмокласничка се е самоубила в Пловдив, тече разследване

21.03.2026, 11:47


Символ на голяма радост: Пролетта пристигна с черен щъркел

21.03.2026, 11:39


Българското знаме от Луната се върна у нас!

21.03.2026, 11:37


Министър Игнатов ще предложи 20 април за официален празник

21.03.2026, 11:32


Асен Василев : Не съм гей! Платиха за тази пропаганда през 2022 година

21.03.2026, 11:29


1 милион евро ще струват хартиените бюлетини за изборите на 19 април

21.03.2026, 11:26


Посланикът на Иран у нас: Войната се води срещу болници и хора

21.03.2026, 11:22


Войната в Близкия изток: САЩ разреши покупката на ирански петрол, мярката е временна

21.03.2026, 08:44


9 делфина и над 300 буревестници са открити мъртви на Северното Черноморие

21.03.2026, 08:40


Предстои най-тежката кампания за политическите сили

21.03.2026, 08:38


Прибрахме си Вяра и Надежда от Тризначките

21.03.2026, 08:34


Малък Тошко остави милиони наследство на дъщеря си

21.03.2026, 08:31


6 метра под морето: Ергенка плати 700 долара, за да обядва с акули

21.03.2026, 08:21


И щерката на Наталия Симеонова отслабна с Оземпик! Майка и дъщеря се вталиха ударно

21.03.2026, 08:18


Колко ще струва великденската ни трапеза

21.03.2026, 08:15


Облаци, валежи и вятър през уикенда

21.03.2026, 08:08


Морбили: Какво представлява заболяването и колко е опасно

21.03.2026, 08:04


Тръмп: Обмисляме постепенно изтегляне на САЩ от Близкия изток

21.03.2026, 07:59


Почина суперзвездата Чък Норис

21.03.2026, 07:52


АНКЕТА