21.10.2013, 12:28 | Перник | На пътя
СПОДЕЛИ:
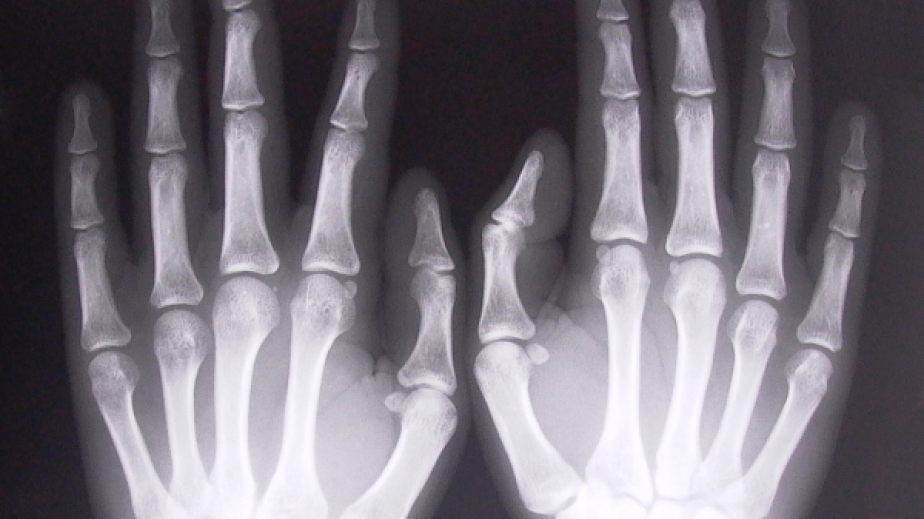
14-годишно момче е пострадало при катастрофа в Радомир.
Инцидентът е станал вчера около 12 ч. на кръстовището на улиците „Никола Вапцаров” и „Струма”.
Лек автомобил „Волво”, управляван от 48-годишната Д.К. от Радомир, при движение на заден ход удря мотоциклет „Априлия”, шофиран от неправоспособно 14-годишно момче. Пострадал е непълнолетния, който е с фрактура на китка на ръка, без опасност за живота. Настанен е в „Пирогов” – София за лечение. Двамата водачи не са употребили алкохол.
Започнато е досъдебно производство и работата продължава.
Снимат финалните кадри на най-новата българска кино лента в Перник
30.04.2026, 12:28 | Перник
Арестуваха двама със съцветия от канабис
30.04.2026, 09:46 | Перник
Пернишки ученици триумфираха на международен панаир
30.04.2026, 07:47 | Перник
Зверска тапа към Перник и София заради катастрофа
29.04.2026, 17:40 | Перник
Откриха най-голямата филателна изложба на Балканите в Перник
29.04.2026, 14:45 | Перник
Иззеха части и вещи с предполагаем престъпен произход от автоморга в Перник
29.04.2026, 11:05 | Перник
Снимат финалните кадри на най-новата българска кино лента в Перник
30.04.2026, 12:28
Димни детектори ще пазят възрастни и самотноживеещи в Перник и Трън
30.04.2026, 10:16
Депутатът от Перник Петър Витанов ще е председател на най-многобройната парламентарна група
30.04.2026, 09:52
Арестуваха двама със съцветия от канабис
30.04.2026, 09:46
Пернишки ученици триумфираха на международен панаир
30.04.2026, 07:47
Зверска тапа към Перник и София заради катастрофа
29.04.2026, 17:40
Откриха най-голямата филателна изложба на Балканите в Перник
29.04.2026, 14:45
Ето какво предизвика тази опашка пред музея в Перник
29.04.2026, 12:59
Петър Витанов посочи две важни задачи пред новата власт
29.04.2026, 12:36
Не излизайте без чадър в четвъртък, ще се лее и ще гърми
29.04.2026, 11:53
Иззеха части и вещи с предполагаем престъпен произход от автоморга в Перник
29.04.2026, 11:05
Почина легендарен треньор по футбол бил и два пъти селекционер на Миньор
29.04.2026, 10:58
Пощенската карта „Слава на миньорския труд“ валидират в Перник
28.04.2026, 15:58
Перничанка внесе екзотична болест от Южна Африка
28.04.2026, 15:36
Окончателно: Намалиха присъдата на Мите Миньорецо
28.04.2026, 14:48
Нови победи в мотокроса за перничанина Дани Цанков
28.04.2026, 10:03
Назад във времето: Показват оръжието на Априлското въстание в Перник
28.04.2026, 09:00
Затварят пътя от Ковачевци до Копаница
28.04.2026, 00:29
Блъснаха 7-годишно дете на площада в Перник! Майката излезе с призив
27.04.2026, 16:22
Деца предизвикаха пожар в съблекалнята на стадиона в Рударци
27.04.2026, 11:38
Разкриха нова база за незаконно производство на цигари в Пернишко
30.04.2026, 13:04
Багер погреба жив работник в Бургас, мъжът почина
30.04.2026, 12:47
Европейският съюз ни осъди да платим 1,9 млн. евро
30.04.2026, 12:46
За първи път в НС: България има незрящ депутат, влезе с куче водач
30.04.2026, 12:41
Кола падна от 6 метра на новостроящо се жп трасе на АМ „Европа“, жена е в тежко състояние
30.04.2026, 12:36
Коя е Михаела Доцова
30.04.2026, 12:34
Снимат финалните кадри на най-новата българска кино лента в Перник
30.04.2026, 12:28
Пленарно заседание върви, а художникът Борисов пак твори
30.04.2026, 12:26
Токови удари повредиха тръбата на рентгена в Радомир
30.04.2026, 12:02
Депутатите избраха Михаела Доцова за председател на парламента
30.04.2026, 11:35
Избраният за депутат Любен Дилов - син получи инсулт
30.04.2026, 11:33
Дете загуби зрението си, след като при 12-часов полет дълго гледа в екран
30.04.2026, 11:30
Димни детектори ще пазят възрастни и самотноживеещи в Перник и Трън
30.04.2026, 10:16
Депутатът от Перник Петър Витанов ще е председател на най-многобройната парламентарна група
30.04.2026, 09:52
Радомир тържествено изпраща абитуриентите от випуск 2026
30.04.2026, 09:51
Арестуваха двама със съцветия от канабис
30.04.2026, 09:46
В топ 4 на страните от ЕС сме с най-голямо поскъпване на дизела
30.04.2026, 09:44
Билка убива 90% от раковите клетки
30.04.2026, 09:42
Колко ще струва абитуриентският бал в евро?
30.04.2026, 09:38
Путин и Тръмп проведоха телефонен разговор
30.04.2026, 09:37
АНКЕТА