23.05.2022, 08:38 | Здраве
СПОДЕЛИ:
SARS-CoV-2 и страничните ефекти от лечението на болестта, която вирусът предизвиква, могат да превърнат безобидната гъбичка аспергилус в заплаха за живота. Опасните вторични инфекции от опортюнистични (нормално неболестотворни) микроорганизми са често срещани усложнения при вирусни епидемични вълни, но сега лекарите бият тревога за конкретната заплаха за пациенти с COVID-19.
Смут предизвиква широко разпространената и безопасна за здрав човек гъбичка аспергилус. От цял свят се публикуват доказателства, че инфекцията със SARS-CoV-2 и много вероятно силните противовъзпалителни медикаменти, използвани за лечението на критичните случаи, правят пациентите с COVID особено уязвими към гъбичките от този вид.
Подобни съобщения има и при агресивни грипни епидемии. Тенденцията е описана преди това през 2009 г. по време на пандемията от свински грип. Един от всеки 4-ма болни е имал насложени бактериални и гъбични инфекции. Сега гъбичките от семейството аспергилус, които може да се открият навсякъде край нас, заплашват пациенти със затегнато протичане на COVID. При стандартните прояви на патогена в “нормални” времена спорите причиняват заболяване само на хора със слаб имунитет, най-често пациенти на химиотерапия или трансплантирани с умишлено потискана имунна система, за да не отхвърли тя донорския орган.
При тежък COVID защитните сили на организма също се сриват рязко. От една страна, от самата инфекция, от друга – при овладяването на силната цитокинова буря, която е форма на свръхреакция на имунните клетки. В основата са имуномодулацията и изчерпването на лимфоцитите, причинени от вируса, и последващото приложение на лекарства, насочени към имунната система, обясняват специалистите. Резултатът може да е животозастрашаващо състояние, особено при инвазия от устойчиви на лекарства щамове аспергилус.
Проучване на работна група на Международното дружество по микология на човека и животните е изчислило, че CAPA - свързаната с корона - вирусна белодробна аспергилоза, се установява средно 10 дни след диагнозата COVID-19.
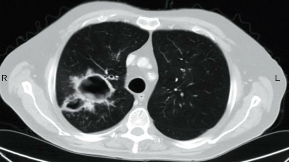
Може да се случи и на хора без рисков фактор за белодробна инфекция с аспергилус? Рентгенографските находки може да изглеждат като белодробни кухини със смущаващи размери – до 12 и повече сантиметра. Гъбичните топкоподобни лезии отнемат дихателен обем и предизвикват тежък задух.
Американски пулмолози от най-голямата верига медицински центрове в Питсбърг наричат белодробната аспергилоза, свързана с коронавируса, опустошително усложнение.
Проф. Даниела Петрова съобщи за пациенти на Александровска болница с аспергиломи и бронхопулмонална аспергилоза, която в голяма степен прилича на астма. А аспергиломът е нещо като топка от гъбички, която се развива в предварително оформени дебелостенни кухини.
Една от находките: кухината с малкото “топче” вляво. Един от случаите, наблюдавани в Отделението по белодробни болести, което проф. Петрова ръководи, е свързан с вида аспергилус негра. Популярен е като черна гъба. При повечето пациенти усложнението е предизвикано от аспергилус фумигатос.
Гъбичките се срещат толкова често както на закрито, така и навън, че повечето хора я вдишват и издишват всеки ден без лоши последици за здравето. Но COVID промени играта. Все още няма обобщена статистика за белодробната COVID-19 аспергилоза в отделните страни и глобално. Съобщават се различни проценти от частични проучвания за честотата. Възможностите за лечение също варират, но най-общо, се свеждат до комбинация от операция и медикаменти.
Некрозиралите тъкани се отстраняват хирургически, а силни антимикотични медикаменти се борят с гъбичните колонии.
Инвазивната аспергилоза - най-тежката форма, обикновено се дължи на проникване на гъбичките в кръвния поток и инфектиране на отдалечени органи, включително сърцето, мозъка и очите. Досега се смяташе за доказано усложнение сред пациентите с тежка
грипна пневмония с честота около 19 на 100.
В контекста на COVID най-мащабно инвазивната аспергилоза, изглежда, се разгръща в Индия. Хипотезите са, че предпоставки за това са големият процент население с диабет, който е предразполагащ фактор, и климатът.
Коварното при белодробната аспергилоза е, че тя може да хронифицира, особено при инфекция с резистентни щамове, които оцеляват при медикаментозното лечение.
Данните от държави в Европа и САЩ показват сравнително голямо разпространение на аспергилозите при COVID и дори е вероятно данните да не отразяват цялата драма. Подозира се, че има и множество недиагностицирани случаи на коинфекцията.
Националната референтна лаборатория по микология на Обединеното кралство например съобщи за проучване, в което вероятните и доказаните белодробни COVID аспергилози в различни региони
варират между 5 и 35 процента
Преглед на 35 публикации за аспергилус колонизацията на белия дроб при хора с коронавирусна болест в Италия, Франция, Германия, Катар, Великобритания, Испания, Нидерландия, Дания и др. показва най-висок риск за смесена инфекция вирус - гъбичка при пациентите, които стигат до интензивно лечение и апаратно дишане. В друг анализ на базата на 51 проучвания сред общо 3297 пациенти в интензивни отделения 313 са били с CAPA – около 10% от всички.
По темата се работи усилено за изработване на алгоритми за клинично поведение. Засега е безспорно само, че белодробната аспергилоза може да усложни коронаинфекцията и да увеличи смъртността. Болестта е все още слабо разбрана отчасти поради противоречиви дефиниции в проучванията.
Истинската честота е неизвестна. Ясно е обаче, че CAPA дава дава лоша прогноза и радиологично се представя различно от класическата инвазивна аспергилоза, поради което се изисква голям опит за откриването и лечението.
Международна група от лекари и медицински микологични дружества публикува в авторитетното сп. “Лансет” препоръки за диагностициране на подозрителни за аспергилоза пациенти с COVID-19, включително сканиране на белите дробове и вземане на проби от тях за тестване.
Надеждата е, че насоките ще помогнат на лекарите от COVID секторите да установят дали се борят с един смъртоносен патоген, или с два.
Ранното диагностициране и лечение може да подобрят прогнозите. При затегнатите случаи се налага включване на много скъпите противогъбични лекарства от последно поколение. Все повече се дискутира и продължителността на прилагане на стероиди в случаите, в които липсват убедителни доказателства за необходимостта от използването им.
Студент почина след епидемия от менингит във Великобритания
15.05.2026, 07:41 | Здраве
СЗО: Хантавирусът ще продължи да се разпространява!
14.05.2026, 09:44 | Здраве
Високото кръвно – „тихият убиец“, който често остава незабелязан
14.05.2026, 08:16 | Здраве
Учени унищожиха COVID-19 и грипни вируси в лаборатория чрез звукови вълни
13.05.2026, 08:10 | Здраве
Уморени, тревожни и несигурни: Новото поколение млади хора
12.05.2026, 08:43 | Здраве
Експерт: Хантавирус – реална опасност или излишна паника?
11.05.2026, 08:36 | Здраве
Пресекоха канал за контрабандни цигари от Гърция, отбиха камионите край Перник
15.05.2026, 13:05
За първи път столетник в с. Расник. Дядо Гочо още сам коси ливадата
15.05.2026, 11:40
Две големи събития в Перник тази седмица
15.05.2026, 10:48
Заради студена вода и аварии: Омбудсманът поиска компенсации и извънредна проверка на „Топлофикация – Перник“
15.05.2026, 10:42
МВР със засилени мерки заради баловете, ето за какво предстоят засилени проверки
15.05.2026, 10:04
Откраднаха кросов мотор от гараж в Перник
15.05.2026, 10:00
60-годишен задигна моторен трион, бил познат на МВР
15.05.2026, 09:58
Росен Петров препълни залата в музея в Перник
15.05.2026, 07:23
Шопски хумор, песни и танци от Трънско и Пернишко на XVII „Шопски празник" в Долни Богров
15.05.2026, 06:44
883 зрелостници ще държат матура по БЕЛ в Перник, 850 на втория задължителен изпит
15.05.2026, 00:11
Единственият в страната депутат с подвижна приемна в Пернишко
14.05.2026, 15:50
Пернишки квартал вече е с изцяло подменени общи водомери в сградите, следва подмяната в останалите
14.05.2026, 14:22
Хора с увреждания се впуснаха в забавни щафетни игри за оринтиране
14.05.2026, 14:02
Бившият областен на Перник се връща в институцията, но като заместник
14.05.2026, 13:58
Новият областен управител на Перник пое властта
14.05.2026, 13:21
Мъж хвърли пликчета с метамфетамин в частен имот, за да избегне проверка
14.05.2026, 10:54
Футболни фенове пребиха и ограбиха младеж в Перник
14.05.2026, 10:50
Близо 270 състезатели се впускат по най-трудните трасета за ориентиране в Перник
14.05.2026, 08:59
Георги Недев с емоционален пост преди смяната
14.05.2026, 08:51
Станислав Владимиров се срещна с най-изявените абитуриенти от випуск 2026
14.05.2026, 07:52
Традиционният събор на Земенския манастир ще се проведе на 23 май
16.05.2026, 00:08
Голо Бърдо има нов първенец, Ветрушка не бил най-високият връх
15.05.2026, 15:40
Отлична физическа подготовка, спортен дух и желание за победа на спортния празник в Брезник
15.05.2026, 14:56
Мъж фрасна депутат след спор за паркиране
15.05.2026, 14:09
„Кауфланд“ и „Билла“ в паника от намерението на държавата да прекрати безобразията с високите цени
15.05.2026, 13:51
Свлачището при Пампорово не може дори да се изследва - опасно е за живота
15.05.2026, 13:17
Пресекоха канал за контрабандни цигари от Гърция, отбиха камионите край Перник
15.05.2026, 13:05
ВАС реши: Асен Василев ще отговаря лично за фалита на "СТВ Консълтинг"
15.05.2026, 12:59
Мощно торнадо помете Турция, отнесе, покриви, дървета и домове
15.05.2026, 11:55
Арестуваха Миро Дзвера в центъра на София! Свалиха го от „Ферари” за половин милион евро
15.05.2026, 11:48
За първи път столетник в с. Расник. Дядо Гочо още сам коси ливадата
15.05.2026, 11:40
Работодатели от Драгоман и Божурище търсят работници от Трън
15.05.2026, 10:52
Две големи събития в Перник тази седмица
15.05.2026, 10:48
Заради студена вода и аварии: Омбудсманът поиска компенсации и извънредна проверка на „Топлофикация – Перник“
15.05.2026, 10:42
Гръмотевици и градушки през уикенда
15.05.2026, 10:36
МВР със засилени мерки заради баловете, ето за какво предстоят засилени проверки
15.05.2026, 10:04
Мел Гибсън заби приятелка на Дарина Павлова, 26 г. по-млада от него
15.05.2026, 10:03
Откраднаха кросов мотор от гараж в Перник
15.05.2026, 10:00
60-годишен задигна моторен трион, бил познат на МВР
15.05.2026, 09:58
БАБХ иззе над 600 кг животински продукти без документи
15.05.2026, 09:54
АНКЕТА